
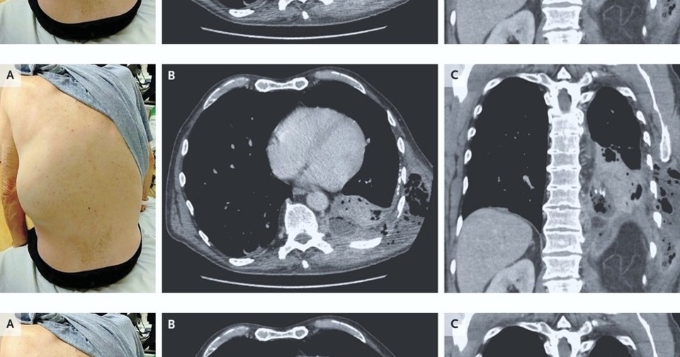
К американским врачам обратился 66-летний мужчина с хронической обструктивной болезнью легких с одышкой и кашлем в течение двух недель, а также болями в левом боку в течение пяти дней. За два дня до обращения он отметил появление и быстрое увеличение опухоли на левом боку. Обследование показало, что у пациента развилось редкое осложнение эмпиемы плевры, при котором гной не собирается в плевральной полости, а прорывает париетальную плевру и распространяется в соседние области. У мужчины он попал на левую заднюю боковую стенку грудной клетки. Случай описан в The New England Journal of Medicine.
При первичном осмотре Адеолува Айоола (Adeoluwa Ayoola) и Крешник Зейнуллаху (Kreshnik Zejnullahu) из Калифорнийского университета выявили у пациента ослабление дыхания у основания левого легкого, а также болезненное образование на спине с левой стороны. Компьютерная томография грудной клетки показала уплотнение левой нижней доли, которое связали с небольшим многоочаговым плевральным выпотом, содержащим газ. Пациенту провели небольшую операцию и дренировали скопление гноя в грудной стенке. Больной прошел длительный курс антибактериальной терапии, и в течение шести месяцев его состояние нормализовалось.

